+ (91) 9900-008-081 ; + (91) 9845-338-403
Top Rated Top Reviewed
drdharmi@gmail.com
Intra-oral : Pre-treatment : Frontal View
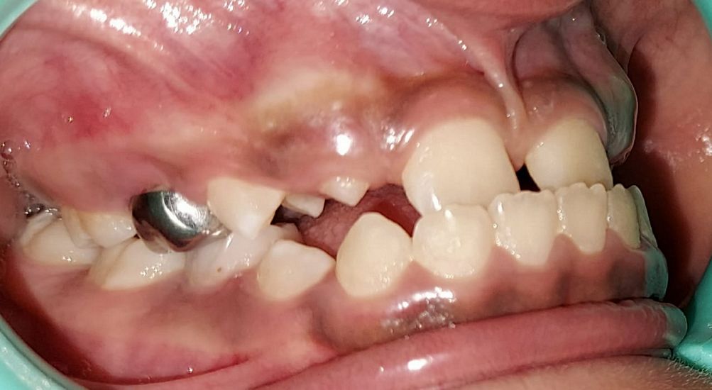
Intra-oral : Pre-treatment : Right Lateral View
Intra-oral : Pre-treatment : Left Lateral View
Intra-oral : Pre-treatment : Maxillary Occlusal View
Intra-oral : Pre-treatment : Mandibular Occlusal View
Intra-oral : Mid-treatment : Frontal View
Intra-oral : Mid-treatment : Maxillary Occlusal View
Intra-oral : Pre & Mid Treatment : Frontal View
Intra-oral : Pre & Mid-treatment : Maxillary Occlusal
Intra-oral : Post-treatment : Frontal View
Intra-oral : Post-treatment : Left Lateral View
Intra-oral : Post-treatment : Maxillary Occlusal View
Intra-oral : Post-treatment : Right Lateral View
Intra-oral : Post-treatment : Mandibular Occlusal View
Intra-oral : Pre, Mid & Post-treatment : Frontal View
Video
Intra-oral : Mid-treatment : Right Lateral View
Intra-oral : Mid-treatment : Mandibular Occlusal View
Intra-oral : Pre, Mid & Post-treatment : Right Lateral View
Intra-oral : Pre, Mid & Post-treatment : Left Lateral View
Intra-oral : Pre, Mid & Post-treatment : Maxillary Occlusal View
Intra-oral : Pre, Mid & Post-treatment : Mandibular Occlusal View
Pre-treatment : Lateral Ceph
Pre, Mid, & Post-treatment : OPG
Pre, Mid & Post-treatment : Lateral Ceph
Monday to Saturday:05:00 pm to 09:00 pmSundays: Closed
Email: drdharmi@gmail.comMob: +91 9845338403Tel: +91 9900008081
Follow us on Instagram to know latest techniques and technological updates in Dentistry. You can connect us instantly from anywhere anytime....
© Copyright 2020-2025. aligners & braces, bangalore : alignersbraces.com | A Dentaura Design