Case File

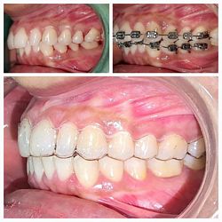
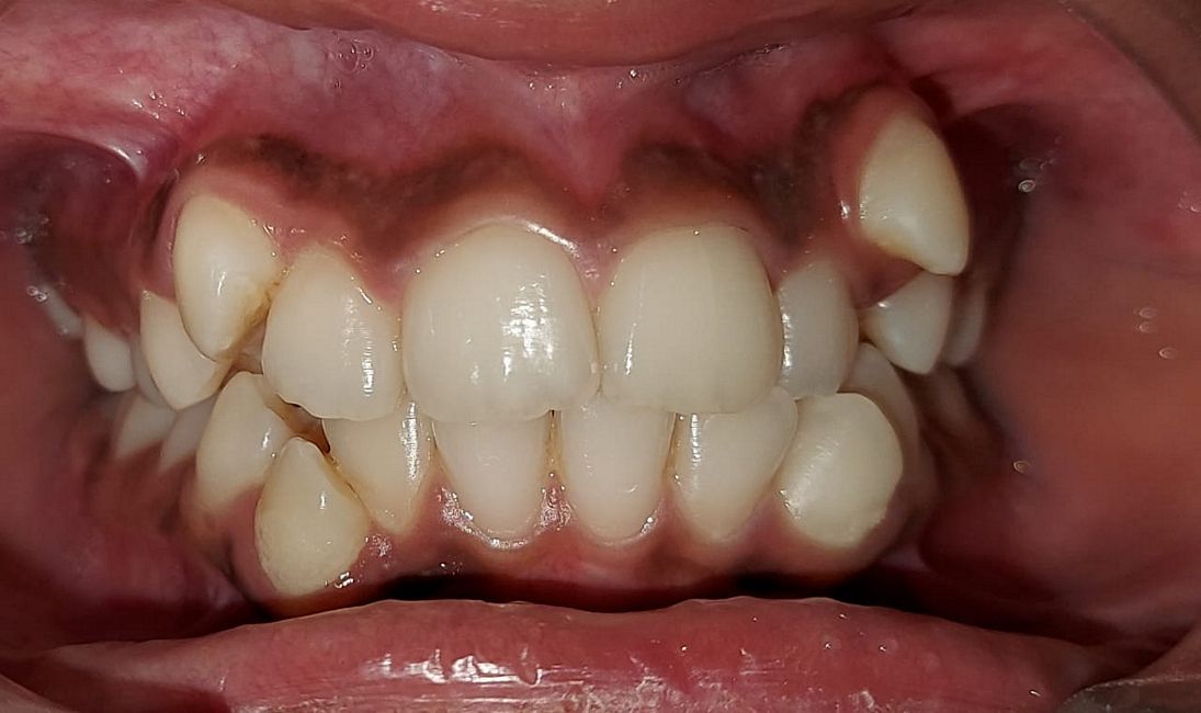
Case No: 40

Malocclusion Type: Maxillary Canine Crossbite.
Mechanics: MBT Mechanics [3M].
Treatment: Non-Extraction.

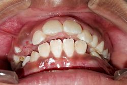
Case No: 39

Malocclusion Type: Skeletal Class II Malocclusion with Overjet of 13 mm and Deep bite.
Mechanics: MBT [3M].
Treatment: Non-Extraction and No Functional Appliances were used.

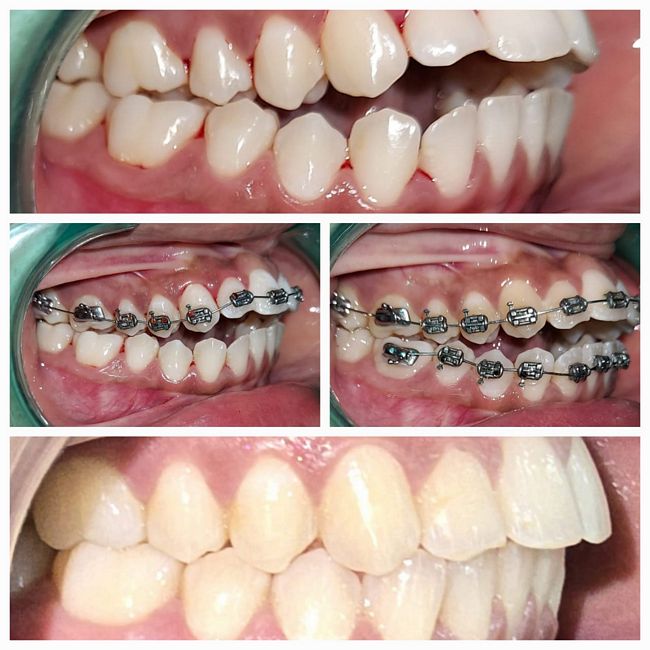
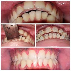
Case No: 38

Malocclusion Type: Skeletal Class III Malocclusion with Anterior and Posterior Crossbite with Reverse Overjet of 8 mm.
Mechanics: Maxillary Arch Self-Ligating Appliance [3M-SmartClip] and Mandibular Arch MBT [3M] Mechanics.
Treatment: Non-Extraction, Non-Surgical and No Functional Appliances were used.

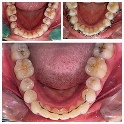
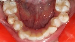
Case No: 37

Malocclusion Type: Class I Malocclusion with Severe Lower Anterior Crowding and Increased Overjet.
Mechanics: MBT Mechanics.
Treatment: Non-Extraction.

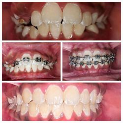
Case No: 36

Malocclusion Type: Class II Division I Malocclusion with Overjet of 8 mm.
Mechanics: MBT Mechanics.
Treatment: Non-Extraction and No Functional Appliances were used.

Case No: 35

Malocclusion Type: Anterior Openbite, Unilateral Posterior Crossbite with Facial Asymmetry.
Mechanics: MBT Mechanics.
Treatment: Non-Surgical Correction.

Case No: 34

Malocclusion Type: Class II Division I Malocclusion with Overjet of 9 mm.
Mechanics: MBT Mechanics.
Treatment: Non-Extraction and No Functional Appliances were used.

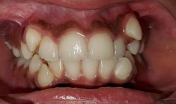
Case No: 33

Malocclusion Type: Class I Malocclusion with Bilateral Canine Crossbite.
Mechanics: MBT Mechanics.
Treatment: Extraction of all Upper Deciduous Canines and Correction of Crossbite.

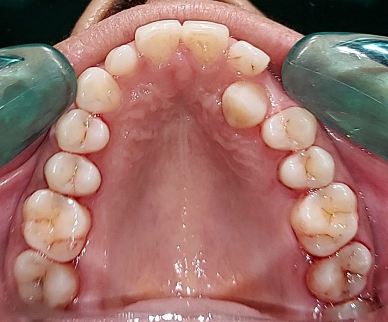
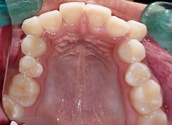
Case No: 32

Malocclusion Type: Class I Malocclusion with Severe Anterior Crowding.
Mechanics: MBT Mechanics.
Treatment: Extraction of all (4's) First premolars.

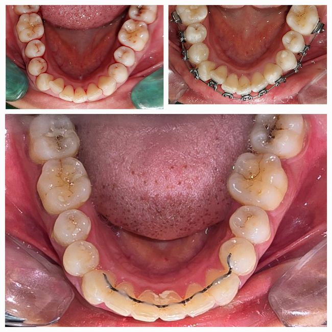
Case No: 31

Malocclusion Type: Class II Division I Malocclusion previously treated with extraction of upper first premolars and lower one incisor extraction presented with complete (bilateral) posterior Crossbite.
Mechanics: MBT (3M) Mechanics in the maxillary arch and Self-ligating Appliance (3M- Smartclip) in the Mandibular arch.
Treatment: Levelling, Aligning, Correction of Bilateral Posterior Crossbite, Overjet and Deep Overbite Correction.

Our Timings

Monday to Saturday:
05:00 pm to 09:00 pm

Sundays: Closed

Follow us on
   

Follow us on Instagram to know latest techniques and technological updates in Dentistry. You can connect us instantly from anywhere anytime....

© Copyright 2020-2025. aligners & braces, bangalore : alignersbraces.com | A Dentaura Design