Case File

Case No: 30

Malocclusion Type: Class I Malocclusion with Severe Anterior Crowding.
Mechanics: MBT Mechanics.
Treatment: Extraction of all (4's) First premolars

Case No: 29

Malocclusion Type: Class I Malocclusion with Anterior Crossbite.
Mechanics: MBT Mechanics with bilateral posterior biteplane.

Case No: 28

Malocclusion Type: Class I Malocclusion (Re-Treatment) with Spacing in upper and lower anteriors.
Mechanics: Clear Aligner Therapy

Case No: 27

Malocclusion Type: Class II Malocclusion with Crowding in upper and lower anteriors.
Mechanics: Self-Ligating Appliance - 3M SmartClip (Note: Non-Extraction)

Case No: 26

Malocclusion Type: Anterior Cross Bite
Mechanics: Self-Ligating Appliance (3M Smart Clip) Maxillary arch
MBT Mechanics (3M) Mandibular arch
Treatment: Dental Class I Malocclusion with anterior crossbite treated using Different Appliance in the upper and lower arches.

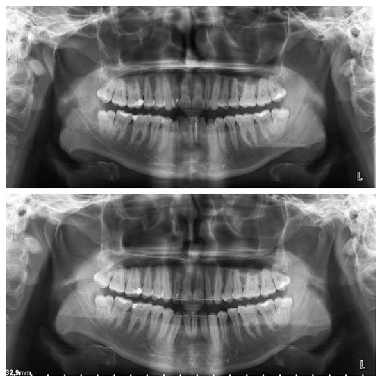
Case No: 25

Malocclusion Type: Skeletal Class III and Dental Class I Malocclusion.
Mechanics: MBT Mechanics.
Treatment: Skeletal Class III Dental Class I Malocclusion with crowding in upper anteriors and anterior crossbite treated Non-surgically.

Case No: 24

Malocclusion Type: Class I Malocclusion (Retreatment).
Mechanics: Aligners.
Treatment: Class I Malocclusion with Spacing in upper and lower anteriors treated with Clear Aligners.

Case No: 23

Malocclusion Type: Class I Malocclusion.
Mechanics: MBT Mechanics.
Treatment: Class I Malocclusion with crowding in upper and lower anteriors treated by Non-extraction method.

Case No: 22

Malocclusion Type: Class I Malocclusion.
Mechanics: MBT Mechanics.
Treatment: Class I Malocclusion with crowding in upper and lower anteriors treated by Non-extraction (permanent teeth)method.

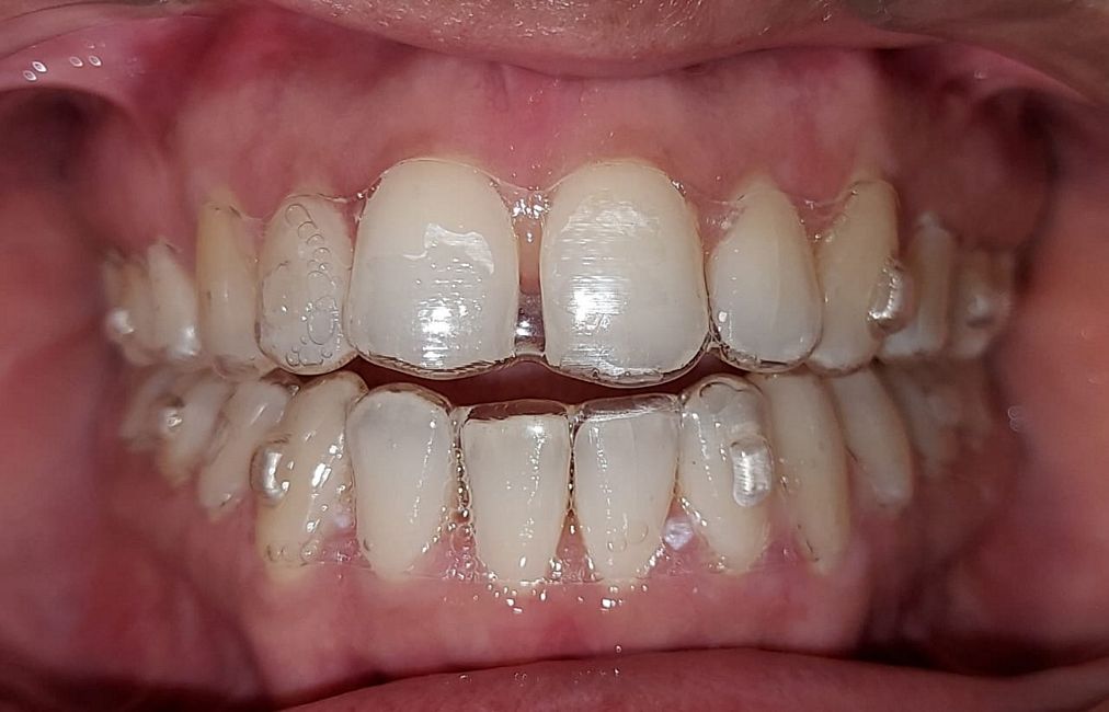
Case No: 21

Malocclusion Type: Class II Division II Malocclusion.
Mechanics: MBT Mechanics (Ceramic Brackets)
Treatment: Class II Division II Malocclusion treated by extraction of Lower left central incisor (History of RCT with poor periapical and periodontal Prognosis).

Our Timings

Monday to Saturday:
05:00 pm to 09:00 pm

Sundays: Closed

Follow us on
   

Follow us on Instagram to know latest techniques and technological updates in Dentistry. You can connect us instantly from anywhere anytime....

© Copyright 2020-2025. aligners & braces, bangalore : alignersbraces.com | A Dentaura Design