Treatment: Class I Malocclusion (Orthodontics on left and Implant on right)
Class I Malocclusion treatment with History of bilateral mandibular first molars extraction was treated by mesialising mandibular 2nd and 3rd molar on the left side and replacing mandibular first molar with Osstem Implant (5 x 10 mm) on right side followed by extraction of lower right 3rd molar.
Extra-oral : Profile View : Pre & Post-treatment Comparison
Extra-oral : Left Lateral View : Pre & Post-treatment Comparison
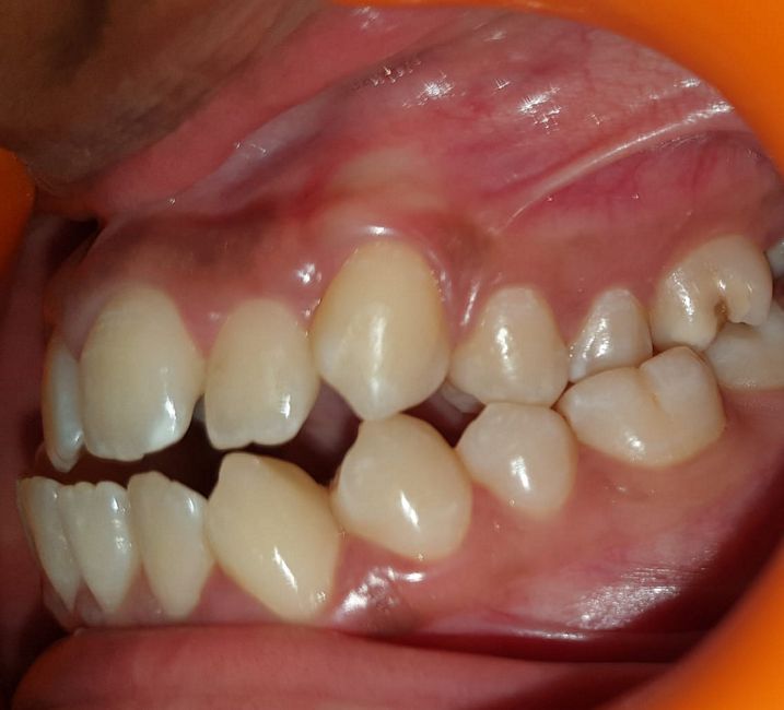
Intra-oral : Left Lateral : Pre & Post treatment View
Intra-oral View : Correction of Overjet and Overbite
Lateral Ceph X-ray : Pre & Post treatment Comparision
OPG X-ray : Pre & Post treatment Comparison
Pre-treatment : Lateral View of Cephalogram and Face
Post-treatment : Lateral View of Cephalogram and Face
Video
Case No: 15
Malocclusion Type: Skeletal Class II Malocclusion with Overjet of 10mm and Overbite of 7mm Mechanics: MBT Appliance (3M Metal Brackets)(Note: No Functional Appliance Used)
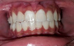
Intra-oral : Pre-treatment : Frontal View
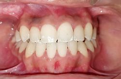
Intra-oral : Post-treatment : Frontal View
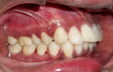
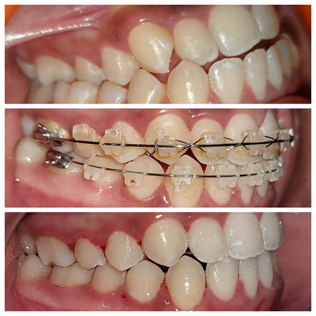
Intra-oral : Pre-treatment : Right Lateral View
Intra-oral : Post-treatment : Right Lateral View
Intra-oral : Pre-treatment : Right Lateral View
Intra-oral : Post-treatment : Right Lateral View
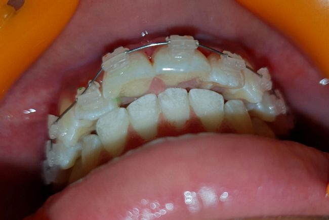
Intra-oral : Pre & Post treatment : Frontal View : 10 mm Overjet Reduced
Intra-oral : Pre, Mid & Post-treatment : Right Lateral View
Intra-oral : Pre, Mid & Post-treatment : Right Lateral View
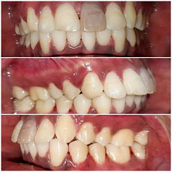
Intra-oral : Mid-treatment : Frontal, Right & Left Lateral View
Intra-oral : Post-treatment : Frontal, Right & Left Lateral View
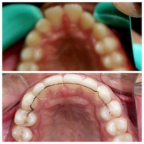
Intra-oral : Pre & Post-treatment : Maxillary Occlusal View
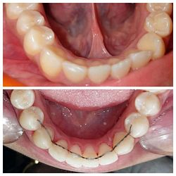
Intra-oral : Pre & Post-treatment : Mandibular Occlusal View
Intra-oral : Mid-treatment : Frontal, Right & Left Lateral View
Intra-oral : Post-treatment : Frontal, Right & Left Lateral View
Video
Case No: 14
Orthodontics/Adult Orthodontics/ Adjunctive Orthodontics Malocclusion Type: Missing Upper Left Central Incisor.
Mechanics: Movement of upper central incisor to upper lateral incisor position and converting the upper right lateral incisor to upper right central incisor by relieving the crowding.
Intra-oral : Pre-treatment : Frontal View
Intra-oral : Post-treatment : Frontal View
Intra-oral : Pre-treatment : Occlusal View
Intra-oral : Post-treatment : Occlusal View
Intra-oral : Pre & Post-treatment : Frontal View
Inta-oral : Pre & Post-treatment : Occlusal View
Video
Case No: 13
Malocclusion Type: Anterior Crossbite
Mechanics: Z- spring with posterior bite plane
Extra-oral : Pre-treatment : Frontal View
Extra-oral : Post-treatment : Frontal View
Extra-oral : Pre & Post-treatment : Right Lateral Views
Intra-oral : Pre & Post-treatment : Frontal View
Intra-oral : Pre & Post-treatment : Right Lateral Views
Intra-oral : Pre & Post - treatment : Left Lateral Views
Intra-oral : Pre & Post - treatment : Occlusal Views
Video
Case No: 12
Malocclusion Type: Crowding in Maxillary and Mandibular Anteriors
Mechanics: Anterior Crowding Relieved by Distalization of Mandibular Posteriors
Intra-oral : Pre-treatment : Frontal View
Intra-oral : Post-treatment : Frontal View
Intra-oral : Pre-treatment : Right Lateral View
Intra-oral : Post-treatment : Right Lateral View
Intra-oral : Pre-treatment : Left Lateral View
Intra-oral : Post-treatment : Left Lateral View
Intra-oral : Mid-treatment : Frontal : Left & Right Lateral Views
Intra-oral : Post-treatment : Frontal : Left & Right Lateral Views
Inta-oral : Pre, Mid & Post-treatment : Right Lateral View
Intra-oral : Pre, Mid & Post-treatment : Left Lateral View
Intra-oral : Pre-treatment : Occlusal View
Intra-oral : Post-treatment : Occlusal View
Video
Case No: 11
Malocclusion Type: Class I Malocclusion with Crowding in upper and lower anteriors.