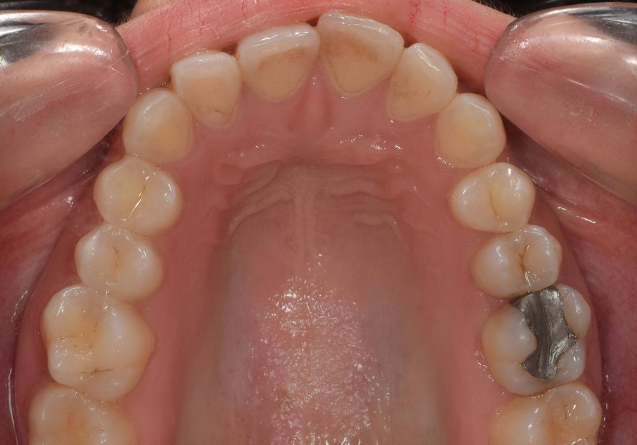
Case File

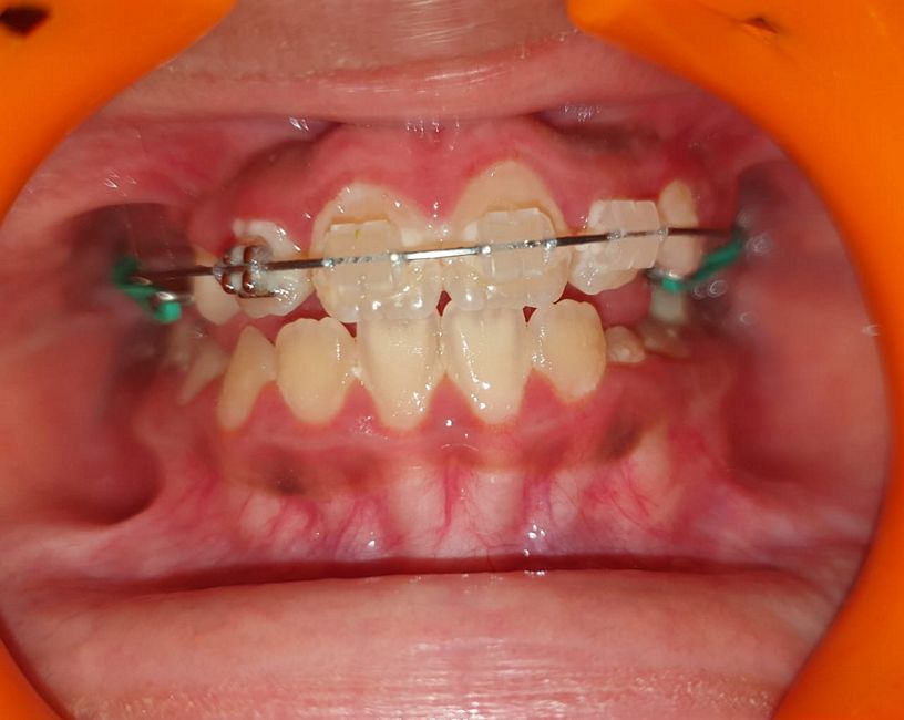
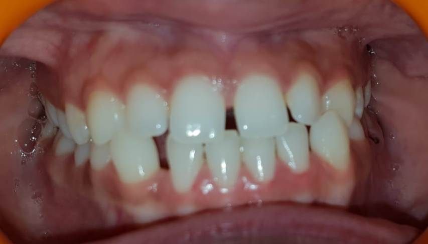
Case No: 10

Malocclusion Type: Anterior Deepbite with Overjet of 0 mm and Overbite of 10 mm
Mechanics: Miniscrew (TAD's - Temporary Anchorage Device) Assisted Intrusion of Upper Anteriors.

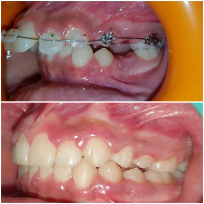
Case No: 9

Malocclusion Type: Skeletal Class III Malocclusion
Mechanics: MBT (3M) Brackets used to Camouflage line of treatment (Note: Non-Surgical)

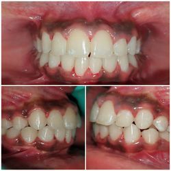
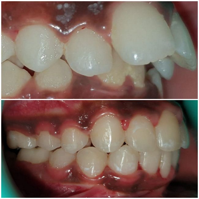
Case No: 8

Type of Malocclusion: Class III Malocclusion in Mixed Dentition with Anterior Crossbite
Mechanics: Innovative Technique for Correction of Class III Malocclusion using Class III Elastics in Mixed Dentition

Case No: 7

Type of Malocclusion: Class II Skeletal Malocclusion with Overjet of 7 mm and Overbite of 7 mm
Mechanics: MBT (Ceramic Monocrystalline) Brackets with growth modulation (Note: No Functional Appliances Used)

Case No: 6

Malocclusion Type: Class I malocclusion with Crowding Upper and Lower Anteriors (Conversion of Extraction Case to Non-Extraction)
Mechanics: Self-Ligating Appliance

Case No: 5

Malocclusion Type: Skeletal Class II Malocclusion with Overjet of 12 mm and Overbite of 8 mm
Mechanics: MBT (3M) Appliance with growth modulation (Note: No Functional Appliance Used)

Case No: 4

Type of Malocclusion: Class I Malocclusion with severe Anterior Crowding
Mechanics: MBT (3M) Brackets used to relieve crowding (Note: without proximal stripping)

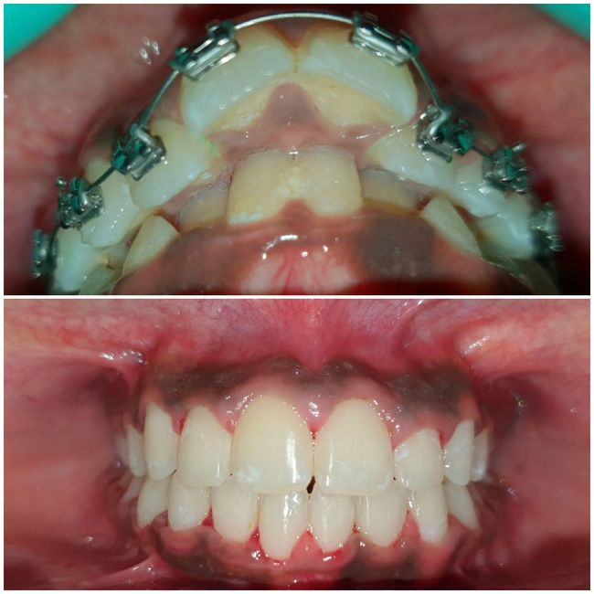
Case No: 3

Malocclusion Type: Skeletal Class II Malocclusion with Overjet of 10mm and Overbite of 7mm
Mechanics: MBT Appliance (Ceramic Brackets) and Growth Modulation (Note: No Functional Appliance Used)

Case No: 2

Malocclusion Type: Class I Malocclusion with Crowding in Upper & Lower Anteriors and Lower Left Premolars.
Mechanics: MBT (Ceramic) Brackets (Note: Without Proximal Stripping)

Case No: 1

Malocclusion Type: Class I Bimaxillary Protrusion - Adult Orthodontics
Mechanics: Aligners

Our Timings

Monday to Saturday:
05:00 pm to 09:00 pm

Sundays: Closed

Follow us on
   

Follow us on Instagram to know latest techniques and technological updates in Dentistry. You can connect us instantly from anywhere anytime....

© Copyright 2020-2025. aligners & braces, bangalore : alignersbraces.com | A Dentaura Design